El trastorno llamado artritis psoriasica es una afectación de todas nuestras articulaciones, en algunos casos aparece mucho antes de que aparezca lo que llamamos artritis, así también este tipo de complicación la padece según un estudio recientes hasta el 10% de toda la población mundial pero aún no se ha informado de avance alguno en la enfermedad o si hay más persona registradas con este tipo de enfermedad.

Este tipo de enfermedad es muy común en los pacientes que sufren ya de una enfermedad que se llama o que conocednos como psoriasis, lo cual es una afectación en la piel de tipo crónico que algunas personas sufren lo que los hace vulnerables ante la inevitable aparición de la artritis psoriasica porque una cosa nos lleva a la ora de manera irremediable así que esto es en gran parte una causa para que aparezca esta enfermedad en alguna personas.
Indice de pacientes
Este tipo de enfermedad altera de una manera drástica el crecimiento en el aumento de todas las células de muestra piel, según registros actuales a la fecha el padecimiento conocido como psoriasis lo sufren al menos unos 7 millones de personas alrededor de todo el mundo lo cual constituye un alto índice de la población que lo sufre, por lo cual es de mucho interés en investigaciones así como también en tratamientos que nos ayuden a llevar esta enfermedad.
En síntesis la artritis psoriasica es una enfermedad muy agresiva que nos trae como consecuencia, la inflamación de todas y cada una de nuestras articulaciones lo que nos lleva a una situación no muy grata para ninguno de los que la padecen, ya que tener nuestros brazos o piernas inflamadas te causa un dolor indescriptible lo cual no te permite tener una buena calidad de vida que digamos además que se ha podido comprobar que esto causa otro tipo de situaciones.
Que daños infringe al cuerpo humano
Tales como depresión y altos niveles de estrés y ansiedad puesto que por sus mismas características las personas que la padecen tienden a desesperarse del dolor que causa la inflamación en sus miembros, lo que los lleva a estresarse de una manera acelerada y hasta los pones de muy mal humor pero es debido a los mimos dolores que este tipo de enfermedad infringe a nuestro cuerpo y por consiguiente a nuestro alrededor porque eso es lo que proyectamos a los que tenemos cerca en este caso pues nuestra familia.
Debemos de tener muy en cuenta el dato que las articulaciones afectadas por este tipo de trastorno se tornan de un color rojizo, lo cual está ligando a la misma inflamación que sufren por el paso inclemente de este no muy grata enfermedad, pero si logramos detectar su presencia a tiempo evitaremos muchos de sus consecuencias como la atrofias en nuestras articulaciones.
Partes que afecta
Así también lograremos evitar que nuestras articulaciones sufren tanto deterioro por parte de esta enfermedad por que el tratamiento en el momento justo o adecuado es una ayuda innegable lo que nos va a permitir mejorar nuestra calidad de vida pese a la presencia de este tipo de enfermedad en nuestra vida y en nuestro cuerpo, por lo que es buena idea buscar ayuda al sentir los síntomas por primera vez.
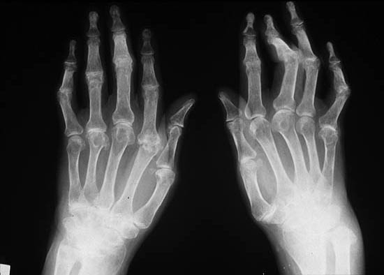
Las partes de nuestro cuerpo que más ataca esta enfermedad son los tobillos, los codos, y también los dedos de las manos así también como los dedos de los pies, tanto en mujeres como en los hombres y su aparición es más que todo en la edad comprendida entre los 30 y los 50 años en ambos sexos, se puede empezar a manifestar en la piel o también se puede manifestar en nuestras articulaciones
Síntomas más frecuentes
Mucho dolor y mucha inflamación en nuestros codos, muñecas, rodillas, y en los dedos de las manos así como los dedos de nuestras manos, los dedos toman la apariencia como si fueran una salchicha tanto por lo inflamado como por el color que adquieren, también aparecen fuertes dolores en la espalda así como también dolores en los glúteos y en el cuello, la piel toma una apariencia de tener escamas las que se desprenden dando ya están muy resecas
Las uñas de los dedos de las manos y también la de los pies tiende a desprenderse por las mismas complicaciones que sufrimos por este tipo de enfermedad, así también nuestra piel sufre de resequedad, por lo cual sufrimos de otras complicaciones derivadas de la artritis psoriasica que padecen muchos seres humanos en la actualidad.
